Центр общественного здоровья и медицинской профилактики Тюменской области
Горячая линия по вопросам диспансеризации+7 3452 35-00-45

Благодаря внедрению искусственного интеллекта, тюменцу выявили ишемическую болезнь сердца


В областную больницу № 19 обратился мужчина, для прохождения компьютерной томограммы органов грудной клетки по скрининговой программе. Данный вид обследования в Тюменской области проходят пациенты со стажем курения более 30 лет для выявления на ранней стадии онкологического заболевания органов грудной клетки и назначения своевременного лечения. 
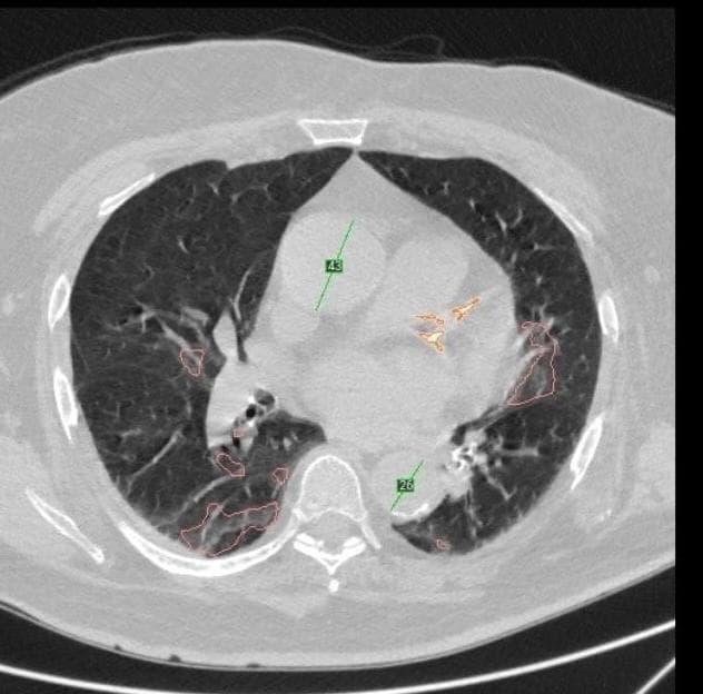
После проведения компьютерной томограммы данные пациента передаются для анализа в медицинскую информационную систему с использованием технологии искусственного интеллекта для выявления даже незначительной патологии. 
«При помощи искусственного интеллекта можно сделать анализ компьютерной томограммы органов грудной клетки и в процессе исследования получить дополнительные данные. Если рассмотреть на примере нашего пациента, то нам удалось обнаружить высокий кальциевый индекс, который говорит о поражении коронарных артерий. У пациента до этого не была выявлена ишемическая болезнь сердца, но в ходе дополнительного обследования обнаружен высокий уровень холестерина и наличие наследственного анамнеза по ишемической болезни сердца», - отметил Николай Мельников, заведующий диагностическим отделением областной больницы № 19. 
Внедрение технологий искусственного интеллекта в областной больнице № 19 проходит в рамках пилотного проекта «Ретроспективный анализ данных компьютерной томографии органов грудной клетки». 
Благодаря внедрению искусственного интеллекта в медицине, врачи получают дополнительные сведения, позволяющие более точно оценить общее состояние здоровья человека и своевременно назначить лечение. 
Автор: Теона Мгвделадзе, специалист по связям с общественностью Департамента здравоохранения Тюменской области